
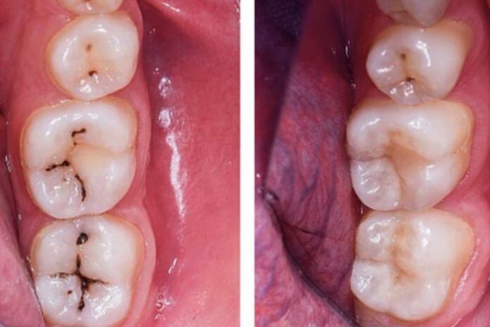
Cavity Home Remedies : चमकते हुए एकदम सफेद दूध जैसे दांत हर किसी को पसंद है. सफेद दांत न केवल खील-खिलाते हुए चेहरे पर चमक ला देते हैं, बल्कि आपकी पर्सनालिटी में भी चार-चार लगा देते हैं. लेकिन अगर इन्हीं दातों में कीड़ा लग जाए तो आपकी खूबसूरती बदसूरती होने में देर नहीं लगाती. दांत में कीड़ा लगना ना केवल आपके पूरे दांतों को खराब कर देता है, बल्कि आपके दांत अंदर से पूरे खोखले कर देता है. इस समस्या को कैविटी कहा जाता है.
कैविटीज (Cavities) आज के समय में होना एक सामान्य सी बात है और खासकर यह बच्चों में ज्यादा देखी जा रही है. इसका मुख्य कारण दांतों का सही से साफ ना होना, अधिक मीठी चीज खाना, मुंह में बैक्टीरिया इन्फेक्शन आदि जैसी चीजों से कैविटी हो जाती है. कैविटी हो जाने के बाद लोग बड़े-बड़े डेंटिस्ट को दिखाते हैं ताकि इस समस्या का समाधान पा सके. लेकिन आज इस खबर में हम आपको बताने वाले हैं कुछ घरेलू नुस्खे, जिसके द्वारा आप अपने दांतों में लगे कीड़े को घरेलू उपाय से ही दूर कर सकते हैं. तो आइए जानते है आज इस आर्टिकल में वह घरेलू उपाय.
लौंग (Clove)
लौंग में एंटीबैक्टीरियल वाले गुण मौजूद होते हैं जो आपके दांतों के दर्द को दूर करने का काम करते हैं. लौंग का इस्तेमाल करना दांतों के कीड़े के लिए बहुत अच्छा घरेलू उपाय है. लौंग का इस्तेमाल आपकी सभी ओरल प्रोब्लम को दूर करता है. आप कैविटी से निजात पाने के लिए लौंग और तेल का इस्तेमाल एक साथ कर सकते हैं.
लहसुन (Garlic)
लहसुन एक ऐसा खाने का पदार्थ है जो आपकी स्वादिष्ट डिशेज में तड़का लगा देता है. साथ ही लहसुन का इस्तेमाल आपके स्वास्थ्य के लिए भी काफी लाभकारी है. लहसुन में एंटीबैक्टीरियल और एंटीफंगल जैसे गुण मौजूद होते हैं, जो आपके दांतों के दर्द को दूर करते हैं. साथ ही कीड़ा लग दांतों से निजात दिला देते हैं.
नमक का पानी (Salt Water)
कीड़ा लगे हुए दांतों के दर्द की कम करने के लिए नमक का गुनगुना पानी बहुत अच्छा और सरल घरेलू उपाय है. इस पानी के सेवन का कुल्ला आपके मुंह में मौजूद बैक्टीरिया को दूर करेगा, साथ ही साथ कैविटी में होने वाले दर्द को भी दूर करेगा.
नींबू (Lemon)
नींबू में वह सभी गुण मौजूद होते हैं जो आपके दांतों के दर्द को हल्का करने में राहत दिलाते हैं. नींबू में विटामिन सी पाया जाता है और साथ ही ऐसा सोर्स पाया जाता है जो आपके मुंह में जमा जर्म्स को दूर करता है.
इन सभी दिक्कतों से मिलेगी निजात, बस रोजाना खाना शुरू कर दें गुड़ और चना…
तमाम खबरों के लिए हमें Facebook पर लाइक करें Twitter , Kooapp और YouTube पर फॉलो करें। Vidhan News पर विस्तार से पढ़ें ताजा-तरीन खबरें।